주로 건강검진을 통해 발견되는 무증상 뇌경색은 심각한 질병으로 이어질 위험이 높은 위험 질환입니다. 이번 글에서는 무증상 뇌경색의 진단, 특징, 위험성, 보험금 지급 관련 내용을 정리해보겠습니다.
무증상 뇌경색

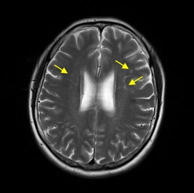
✔ 기능적으로 중요하지 않은(뇌의 활동이 적은) 부위에 뇌졸중이 생기거나 아주 작은 뇌졸중이라면 자각 증상이 없거나 미미할 수 있는데, 이런 경우 뇌 영상 검사를 받다가 우연히 발견하기도 합니다. 이를 흔히 '무증상 뇌경색'이라고 부르며 '무증상 뇌졸증', '열공성 뇌경색' 등으로도 불립니다.
✔ 건강검진 때 뇌 MRI 검사를 하는 사람들이 많아지고 검사 기술도 발전하면서 증상이 없는 뇌혈관질환까지 발견하는 사례가 많이 늘어나며 과거에는 발견할 수 없었던 미세한 이상까지 진단하면서 새롭게 명명된 질환인 셈입니다.
위험성
무증상 뇌졸중은 증상이 없더라도 향후 심각한 뇌졸중이나 치매로 진행될 수 있는 위험 요소입니다. 특히, 무증상 뇌졸중이 있는 사람은 정상인에 비해 뇌졸중 발생 위험이 10배 높으며, 치매 발생 위험도 2.3배 증가한다고 알려져 있습니다.
보험금 지급 여부 - '가능!!'
✔ 불과 작년까지만해도 무증상 뇌경색에 대해 보험금 지급을 요청해도 보험사에서 지급을 거부했었습니다.
보험사들은 “오래된 열공성 뇌경색의 경우 뇌경색증(질병분류코드 I63) 진단을 할 수 없다”며 진단비 지급을 거절해왔는데요. 올해 2월 '무증상 뇌졸증(열공성 뇌경색)'도 '뇌경색증'에 해당하며, 보험급을 지급해야 한다는 판결이 나왔습니다! 이제부터 해당 판례를 바탕으로 '무증상 뇌경색'에 대해서도 보험금을 원활히 지급 받을 수 있겠습니다. (무증상 뇌경색 질병코드도 I63)


지금까지 '무증상 뇌졸증'(열공성 뇌경색)의 특징, 위험성, 보험금 지급 관련해서 정리해보았습니다. 무증상 뇌졸중은 증상이 없어 발견이 어렵지만, 향후 심각한 뇌졸중이나 치매로 진행될 수 있는 위험 요소입니다. 따라서, 정기적인 건강검진과 생활 습관 개선을 통해 예방하고, 발견 시에는 전문 의료진과의 상담을 통해 적절한 치료를 받는 것이 중요하겠습니다 :)
